pon-pt: 9-18 
ul. Armii Krajowej 1C

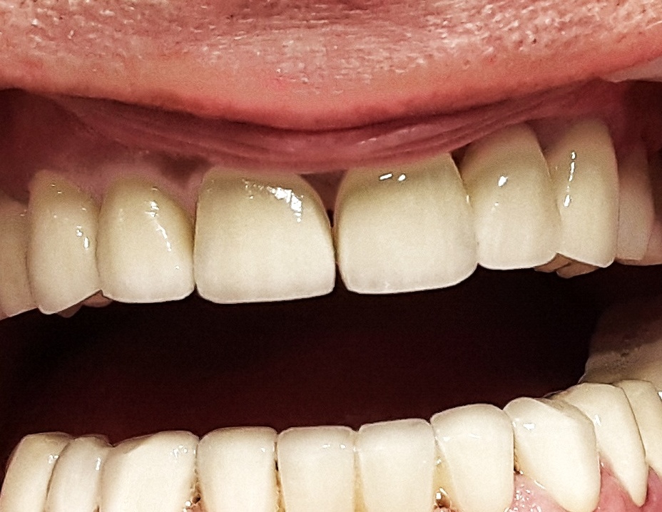
protetyka stomatologiczna

Zabiegi z zakresu protetyki stomatologicznej:
Rekonstrukcje prawidłowego stanu zdrowia i estetyki jamy ustnej przy pomocy wkładów, licówek, koron , mostów , protez oraz skojarzonych rozwiązań obejmujących różne typy wymaganych terapii.

Some text some message..